切换至 "中华医学电子期刊资源库"

中华普外科手术学杂志(电子版) ›› 2026, Vol. 20 ›› Issue (02) : 199 -200. doi: 10.3877/cma.j.issn.1674-3946.2026.02.026

临床经验

异位胰腺致十二指肠球部溃疡并发大出血一例
冯智杰1,2, 袁甲1,2, 程杰2, 袁张红2, 宋炎阳2, 高晓鹏2,()   
  1. 1044000 山西长治,长治医学院
    2044000 山西运城,山西医科大学附属运城市中心医院胃肠外科
  • 收稿日期:2025-02-02 出版日期:2026-04-26
  • 通信作者: 高晓鹏

A case of duodenal bulb ulcer complicated with massive hemorrhage gaused by ectopic pancreas

Zhijie Feng1,2, Jia Yuan1,2, Jie Cheng1,2, Zhanghong Yuan2, Yanyang Song2, Xiaopeng Gao2,()   

  1. 1Changzhi Medical College, Changzhi Shaanxi Province 044000, China
    2Department of Gastrointestinal Surgery, Yuncheng Central Hospital Affiliated to Shanxi Medical University, Yuncheng Shaanxi Province 044000, China
  • Received:2025-02-02 Published:2026-04-26
  • Corresponding author: Xiaopeng Gao
引用本文:

冯智杰, 袁甲, 程杰, 袁张红, 宋炎阳, 高晓鹏. 异位胰腺致十二指肠球部溃疡并发大出血一例[J/OL]. 中华普外科手术学杂志(电子版), 2026, 20(02): 199-200.

Zhijie Feng, Jia Yuan, Jie Cheng, Zhanghong Yuan, Yanyang Song, Xiaopeng Gao. A case of duodenal bulb ulcer complicated with massive hemorrhage gaused by ectopic pancreas[J/OL]. Chinese Journal of Operative Procedures of General Surgery(Electronic Edition), 2026, 20(02): 199-200.

图1 腹腔干造影及胃十二指肠动脉栓塞
图2 内窥镜检查
图3 术中探查注:箭头示十二指肠胃窦交界浆膜部可见2个大小0.5cm*1.0cm的异位胰腺组织
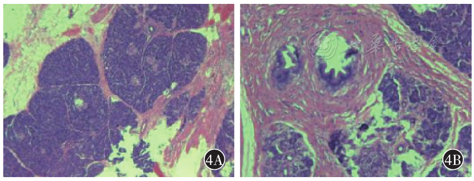
图4 术后病理(400x)
[1]
Rezvani M, Menias C, Sandrasegaran K, et al. Heterotopic Pancreas: Histopathologic Features, Imaging Findings, and Complications [J]. Radiographics, 2017, 37(2): 484-499.
[2]
Thoeni RF, Gedgaudas RK. Ectopic pancreas: usual and unusual features [J]. Gastrointest Radiol, 1980, 5(1): 37-42.
[3]
Subramanian M, Wee E, Desai V, et al. Clinics in diagnostic imaging. 158. Duodenal ectopic pancreas[J]. Singapore med J, 2014, 55(12): 629-633.
[4]
Minami T, Terada T, Mitsui T, et al. Adenocarcinoma arising from a heterotopic pancreas in the first portion of the duodenum: a case report [J]. Surg Case Rep, 2020, 18: 6(1): 141.
[5]
Park JY, Lee ES, Hwang HW, et al. Heterotopic pancreas: the added value of endoscopic ultrasound with Computed Tomography for diagnosis [J]. Med Ultrason, 2021, 23(1): 22-28.
[6]
Betzler A, Mees ST, Pump J, et al. Clinical impact of duodenal pancreatic heterotopia - Is there a need for surgical treatment? [J]. BMC Surg, 2017, 17(1): 53.
[7]
Lang L, Yu FK, Kang LM. Advances in the diagnosis and treatment of heterotopic pancreas [J]. World J Clin Cases, 2024, 12(30): 6349-6352.
[8]
Li K, Xu Y, Liu NB, et al. Asymptomatic gastric adenomyoma and heterotopic pancreas in a patient with pancreatic cancer: A case reportand review of the literature [J]. World J Clin Cases, 2022, 9(27): 8147-8156.
[1] 李文斌, 李莹莹, 李纬平, 韩明, 吴健, 毕志彬. 基于倾向性评分匹配的近端胃切除改良双通道吻合术与全胃切除Roux-en-Y吻合术疗效对比分析[J/OL]. 中华普通外科学文献(电子版), 2025, 19(04): 256-263.
[2] 黄家晴, 李福涛, 王婷文, 陶亮, 卞晓洁, 管文贤. 胃癌手术患者肠外营养信息化全程管理的效果评价研究[J/OL]. 中华普外科手术学杂志(电子版), 2026, 20(02): 125-129.
[3] 朱田雨, 施海, 杨洁. 预先小切口辅助腹腔镜根治术治疗进展期远端胃癌的临床研究[J/OL]. 中华普外科手术学杂志(电子版), 2026, 20(02): 130-133.
[4] 汝干, 翟春涛, 田昳程, 陈正荣. 腹腔镜下不同手术方式治疗cT1N0M0期胃癌的临床比较[J/OL]. 中华普外科手术学杂志(电子版), 2026, 20(02): 134-137.
[5] 吴燕, 刘瑶. 胃癌患者全胃切除术后不同消化道重建方式的研究进展[J/OL]. 中华普外科手术学杂志(电子版), 2026, 20(01): 83-86.
[6] 刘慧, 袁野. 右侧前入路与左侧后入路腹腔镜根治术治疗局部进展期胃癌的对比研究[J/OL]. 中华普外科手术学杂志(电子版), 2026, 20(01): 14-17.
[7] 康星, 俞杭, 单晓东, 孙喜太, 褚薛慧. 单孔腹腔镜袖状胃切除术围手术期血液管理措施的比较研究[J/OL]. 中华普外科手术学杂志(电子版), 2026, 20(01): 18-21.
[8] 薛兆强, 袁寅. 双镜联合保功能胃癌根治术治疗早期近端胃癌的临床研究[J/OL]. 中华普外科手术学杂志(电子版), 2025, 19(06): 628-632.
[9] 贺子蕗, 张靖, 刘卓, 李昊楠, 赵鑫鑫, 孙泽辉. 改良内翻手工缝合的Overlap吻合法在腹腔镜全胃切除术中的临床研究[J/OL]. 中华普外科手术学杂志(电子版), 2025, 19(06): 633-636.
[10] 王思竣, 王琼, 李珂雨, 袁新普, 张硕珉, 马睿, 谢天宇, 张朝军. 胃上部癌新辅助化疗联合免疫治疗后实施近端胃切除术的临床疗效分析[J/OL]. 中华普外科手术学杂志(电子版), 2025, 19(06): 637-641.
[11] 贾宇浩, 吕坤昱, 刘志强, 李保中. 不同入路腹腔镜辅助下根治性远端胃切除术治疗进展期远端胃癌的临床对比[J/OL]. 中华普外科手术学杂志(电子版), 2025, 19(05): 513-516.
[12] 菅锎宇, 常如玉, 王达, 顼倩茹, 蒋麟, 贾宝雷, 邱宇轩, 梁峰. 进展期食管胃结合部癌不同手术方式的近期疗效研究[J/OL]. 中华普外科手术学杂志(电子版), 2025, 19(05): 517-522.
[13] 石淑勤, 贾国法, 柯希权. 酚磺乙胺联合雷贝拉唑治疗溃疡性上消化道出血的临床疗效及对患者氧化应激反应的影响[J/OL]. 中华消化病与影像杂志(电子版), 2026, 16(01): 31-35.
[14] 邹欢, 何斌, 赵斌, 屈霄. 内镜下尼龙绳联合钛夹止血治疗急性非静脉曲张性上消化道出血的临床研究[J/OL]. 中华消化病与影像杂志(电子版), 2025, 15(06): 570-575.
[15] 钟蕾. 双轨道应急护理方法在急性上消化道出血内镜治疗中的应用效果比较[J/OL]. 中华卫生应急电子杂志, 2025, 11(04): 215-219.
阅读次数
全文


摘要


AI


AI小编
你好!我是《中华医学电子期刊资源库》AI小编,有什么可以帮您的吗?