切换至 "中华医学电子期刊资源库"

中华普外科手术学杂志(电子版) ›› 2026, Vol. 20 ›› Issue (01) : 96 -98. doi: 10.3877/cma.j.issn.1674-3946.2026.01.026

临床经验

胃韧带样纤维瘤两例报告并文献复习
王龙, 张海翘, 黄勇, 李佳璇, 翟育豪, 尹杰(), 张军   
  1. 100050 北京,首都医科大学附属北京友谊医院普外科
  • 收稿日期:2025-01-27 出版日期:2026-02-26
  • 通信作者: 尹杰

Two cases of gastric desmoid-type fibroma with literature review

Long Wang, Haiqiao Zhang, Yong Huang, Jiaxuan Li, Yuhao Zhai, Jie Yin(), Jun Zhang   

  1. Department of General Surgery, Beijing Friendship Hospital, Capital Medical University, Beijing 100050, China
  • Received:2025-01-27 Published:2026-02-26
  • Corresponding author: Jie Yin
引用本文:

王龙, 张海翘, 黄勇, 李佳璇, 翟育豪, 尹杰, 张军. 胃韧带样纤维瘤两例报告并文献复习[J/OL]. 中华普外科手术学杂志(电子版), 2026, 20(01): 96-98.

Long Wang, Haiqiao Zhang, Yong Huang, Jiaxuan Li, Yuhao Zhai, Jie Yin, Jun Zhang. Two cases of gastric desmoid-type fibroma with literature review[J/OL]. Chinese Journal of Operative Procedures of General Surgery(Electronic Edition), 2026, 20(01): 96-98.

图1 A为超声内镜提示胃底大弯隆起性病变;B为CT提示胃体大弯类圆形结节
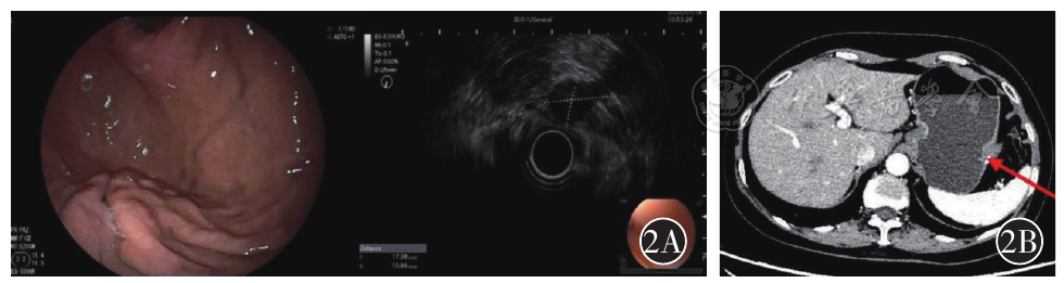
图2 A为超声内镜提示胃底体交界大弯侧术后瘢痕样改变;B为CT提示胃大弯侧软组织结节影
图3 A为超声内镜提示胃体中上部大弯侧圆形低回声病变;B为CT提示脾胃间隙类圆形结节
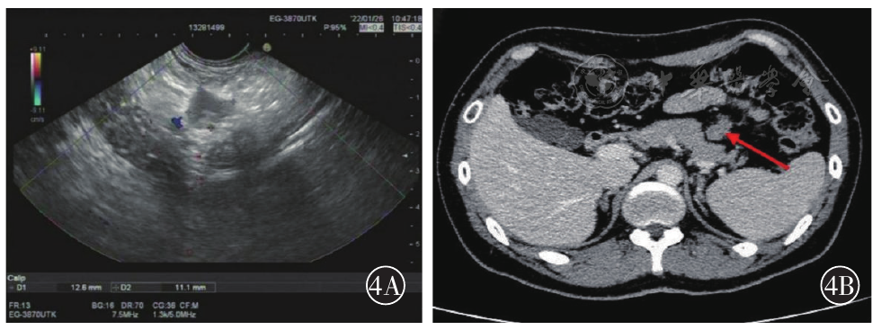
图4 A为超声内镜提示胰颈部前方不规则病变;B为CT提示胰体部前方结节状软组织密度影
[1]
Garcia-Ortega DY, Martin-Tellez KS, Cuellar-Hubbe M, et al. Desmoid-type fibromatosis [J]. Cancers(Basel), 2020, 12(7): 1851.
[2]
Sun Z, Hong X, Li J, et al. Risk factors of postoperative recurrence for abdominal wall aggressive fibromatosis[J]. Asian J Surg, 2024, 47(9): 4134-4136.
[3]
Sbaraglia M, Bellan E, Dei Tos AP. The 2020 WHO Classification of Soft Tissue Tumours: news and perspectives[J]. Pathologica, 2021, 113(2): 70–84.
[4]
何旭昶, 安文慧, 曾庆彬, 等. 腹内型侵袭性纤维瘤的研究进展[J]. 胃肠病学和肝病学杂志, 2020, 29(07): 834-838.
[5]
Timbergen MJM, Janssen ML, Verhoef C, et al. Wnt targets genes are not differentially expressed in desmoid tumors bearing different activating β-catenin mutations-science direct[J]. Eur J Surg Oncol, 2019, 45(4): 691-698.
[6]
Chao G, Wang Y, Broaddus R, et al. Exon 3 mutations of CTNNB1 drive tumorigenesis: A review [J]. Oncotarget, 2017, 9(4): 5492.
[7]
Lauricella S, Rausa E, Pellegrini I, et al. Current management of familial adenomatous polyposis[J]. Expert Rev Anticancer Ther, 2024, 24(6): 363-377.
[8]
Lee YS, Joo MW, Shin SH, et al. Current treatment concepts for extra-abdominal desmoid-type fibromatosis: a narrative review [J]. Cancers, 2024, 16(2): 273.
[9]
Federman N. Molecular pathogenesis of desmoid tumor and the role of gsecretase inhibition [J]. NPJ Precis Oncol, 2022, 6(1): 62.
[10]
Figueredo C, Schiano T. A Review of the Clinical Presentation, Outcomes, and Treatments of Patients Having Desmoid Tumors. Gastro Hep Adv, 2023, 2(4): 588-600.
[11]
Dumont AG, Rink L, Godwin AK, et al. A nonrandom association of gastrointestinal stromal tumor(GIST)and desmoid tumor (deep fibromatosis): case series of 28 patients [J]. Ann Oncol, 2012, 23(5): 1335-1340.
[12]
Debaudringhien M, Blay JY, Bimbai AM, et al. Association between recent pregnancy or hormonal contraceptive exposure and outcome of desmoidtype fibromatosis[J]. ESMO Open, 2022, 7(5): 100578.
[13]
于永梅, 曹长勇, 刘晓萌. 腹部侵袭性纤维瘤病的CT与MRI诊断价值[J]. 医学影像学杂志, 2019, 29(07): 1163-1166.
[14]
周思成, 裴炜, 郑朝旭, 等. 老年侵袭性纤维瘤的临床特征与外科治疗[J]. 中国肿瘤外科杂志, 2020, 12(05): 392-396.
[15]
韩洁, 王勇, 胡志广, 等. 腹内型韧带样纤维瘤病的临床特征与声像图分析[J]. 中国超声医学杂志, 2022, 38(10): 1132-1134.
[16]
中国临床肿瘤学会指南工作委员会. 中国临床肿瘤学会(CSCO)骨与软组织肿瘤诊疗指南2024[M]. 北京:人民卫生出版社, 2024.
[17]
Desmoid Tumor Working Group. The management of desmoid tumours: A joint global consensus-based guideline approach for adult and paediatric patients [J]. Eur J Cancer, 2020, 127: 96-107.
[18]
Kasper B, Baldini EH, Bonvalot S, et al. Current Management of Desmoid Tumors: A Review [J]. JAMA Oncol, 2024, 10(8): 1121-1128.
[19]
Janssen ML, van Broekhoven DLM, Cates JMM, et al. Meta-analysis of the influence of surgical margin and adjuvant radiotherapy on local recurrence after resection of sporadic desmoid-type fibromatosis [J]. Br J Surg, 2017, 104(4): 347–357.
[20]
费阳, 李基业. 硬性纤维瘤的治疗进展[J/CD]. 中华普外科手术学杂志(电子版), 2007, 1(02): 120-122.
[21]
Xiao JC, Mao JZ, Li BL. Clinical characteristics and treatment of intra-abdominal aggressive fibromatosis: a retrospective study of 16 patients [J]. Front Med(Lausanne), 2020, 7: 2.
[22]
Santti K, Ihalainen H, Ronty M, et al. Estrogen receptor beta expression correlates with proliferation in desmoid tumors[J]. J Surg Oncol, 2019, 119(7): 873-879.
[23]
Fiore M, Colombo C, Radaelli S, et al. Hormonal manipulation with toremifene in sporadic desmoid-type fibromatosis[J]. Eur J Cancer, 2015, 51(18): 2800-2807.
[24]
Quast DR, Schneider R, Burdzik E, et al. Long-term outcome of sporadic and FAP-associated desmoid tumors treated with high-dose selective estrogen receptor modulators and sulindac: a single-center long-term observational study in 134 patients[J]. Fam Cancer, 2016, 15(1): 31-40.
[25]
Tsukamoto S, Takahama T, Mavrogenis AF, et al. Clinical outcomes of medical treatments for progressive desmoid tumors following active surveillance: a systematic review[J]. Musculoskelet Surg, 2023, 107 (1): 7-18.
[26]
Gounder M, Ratan R, Alcindor T, et al. Nirogacestat, a γ-Secretase Inhibitor for Desmoid Tumors[J]. N Engl J Med, 2023, 388(10): 898-912.
[27]
林晨, 王萌, 管文贤, 等. 胃肠间质瘤免疫疗法及新策略的研究进展[J/CD]. 中华普外科手术学杂志(电子版), 2023, 17(01): 98-100.
[1] 姚垚, 杨小红, 赵胜, 高艳多, 郭凯莉. 胆道闭锁产前及生后超声诊断分析[J/OL]. 中华医学超声杂志(电子版), 2025, 22(10): 962-968.
[2] 杨明, 许彩娜, 张宁, 王晓娜, 贾坤, 宋伟, 李丽, 薛红元. 2023—2024年度河北省甲状腺癌超声诊断符合率现状分析[J/OL]. 中华医学超声杂志(电子版), 2025, 22(09): 846-849.
[3] 杨一辰, 廖习成, 马玥麟, 李迎, 王祥柱. 基于旁路的复杂器械分离经根管取出策略探索与疗效评价[J/OL]. 中华口腔医学研究杂志(电子版), 2025, 19(06): 369-377.
[4] 尹晓南, 杨弘鑫, 沈朝勇, 尹源, 张波. 胃肠间质瘤四线瑞派替尼的耐药机制及治疗进展[J/OL]. 中华普通外科学文献(电子版), 2025, 19(06): 414-420.
[5] 毛俊, 蔡兆伦, 尹晓南, 沈朝勇, 张波. 影像组学预测模型在胃肠间质瘤诊断及预后中的研究进展[J/OL]. 中华普通外科学文献(电子版), 2025, 19(06): 421-425.
[6] 伍通美, 杨春燕. 胃癌异时性肝转移外科与转化治疗研究进展[J/OL]. 中华普外科手术学杂志(电子版), 2026, 20(01): 78-82.
[7] 刘慧, 袁野. 右侧前入路与左侧后入路腹腔镜根治术治疗局部进展期胃癌的对比研究[J/OL]. 中华普外科手术学杂志(电子版), 2026, 20(01): 14-17.
[8] 牛磊, 刘烺飚, 武亚东, 张军, 蔡军. 全腹腔镜λ型非离断间置空肠吻合在近端胃切除术中的初步应用[J/OL]. 中华普外科手术学杂志(电子版), 2026, 20(01): 22-25.
[9] 胡博文, 胡亚兰, 梁辉. 前列腺癌早期筛查的常见方法及最新研究进展[J/OL]. 中华腔镜泌尿外科杂志(电子版), 2025, 19(06): 800-808.
[10] 蔡建珊, 陈进宏. 同时性结直肠癌肝转移手术策略[J/OL]. 中华肝脏外科手术学电子杂志, 2025, 14(06): 813-821.
[11] 黄少坚, 梁汉标, 李清平, 唐善华, 李青妍, 李芷西, 黄灿, 王小振, 陈灿辉, 王恺, 李川江. 基于影像组学和临床特征构建肝癌新辅助/转化治疗后病理学完全缓解预测模型[J/OL]. 中华肝脏外科手术学电子杂志, 2025, 14(06): 860-867.
[12] 王利皓, 罗世超, 唐强, 尚栋良, 段少博, 卢冰, 李海, 薛飞. 仑伐替尼和PD-1抑制剂预处理联合TACE序贯治疗CNLC分期Ⅲ期肝癌疗效及安全性[J/OL]. 中华肝脏外科手术学电子杂志, 2025, 14(06): 868-874.
[13] 冉影, 刘瑞云, 王欣宇, 顾家琪, 韩宗泽, 李纪文, 杨辉, 王翛然, 王邦茂, 周璐. 瞬时弹性成像对自身免疫性肝炎肝纤维化的诊断效能及其影响因素[J/OL]. 中华临床医师杂志(电子版), 2025, 19(09): 651-658.
[14] 姜宇丰, 张睿, 闵红巍. 全关节置换术后异位骨化的研究进展[J/OL]. 中华临床医师杂志(电子版), 2025, 19(07): 526-531.
[15] 王春茂, 韩鸣, 王子彤. 局限期小细胞肺癌新辅助治疗后完全病理学缓解五例[J/OL]. 中华临床医师杂志(电子版), 2025, 19(07): 550-554.
阅读次数
全文


摘要


AI


AI小编
你好!我是《中华医学电子期刊资源库》AI小编,有什么可以帮您的吗?