×
模态框(Modal)标题
在这里添加一些文本
关闭
关闭
提交更改
取消
确定并提交
×
模态框(Modal)标题
×
切换至 "中华医学电子期刊资源库"
高级检索
图表检索
导航切换
中华普外科手术学杂志(电子版)
首页
优先出版
当期目录
过刊浏览
音视频
期刊介绍
期刊介绍
稿约
数据库收录
读者指南
常见问题
Email Alert
编委会
订阅
在线投稿
图/表 详细信息
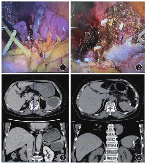
经胰后隧道阻断脾血管技术行腹腔镜脾部分切除术10例报道
许维, 吴鹏, 郑世海, 宋劲松
中华普外科手术学杂志(电子版) . 2026, 20 (
02
): 201-202.
摘要
(
3
)
HTML
(
0
)
PDF
( 4394 )
(
4
)
图4
术后3个月增强CT显示残余脾脏形态、血供正常
本文的其它图/表
版权所有 中华医学会 中华医学电子音像出版社有限责任公司 京ICP备14006079号-1 网络出版服务许可证:(署)网出证(京)字第075号
AI
小
编
AI小编
你好!我是《中华医学电子期刊资源库》AI小编,有什么可以帮您的吗?