切换至 "中华医学电子期刊资源库"

中华普外科手术学杂志(电子版) ›› 2026, Vol. 20 ›› Issue (01) : 75 -77. doi: 10.3877/cma.j.issn.1674-3946.2026.01.021

论著

腹腔镜脾部分切除治疗脾脏硬化性血管瘤样结节性转化一例并文献复习
李志军1, 李宏伟2, 吕瑞昌3, 黄勇2, 尚培中3, 李晓武3,()   
  1. 1075000 河北张家口,解放军陆军第八十一集团军医院影像科
    2075000 河北张家口,解放军陆军第八十一集团军医院检验病理科
    3075000 河北张家口,解放军陆军第八十一集团军医院普通外科
  • 收稿日期:2025-01-27 出版日期:2026-02-26
  • 通信作者: 李晓武

Laparoscopic partial splenectomy for sclerosing angiomatoid nodular transformation of the spleen: a case report and literature review

Zhijun Li1, Hongwei Li2, Ruichang Lv3, Yong Huang2, Peizhong Shang3, Xiaowu Li3,()   

  1. 1Department of Imaging, the 81st Group Army Hospital of PLA, Zhangjiakou Hebei Province 075000, China
    2Department of Pathology & Medical Laboratory, the 81st Group Army Hospital of PLA, Zhangjiakou Hebei Province 075000, China
    3Department of Gerneral Surgery, the 81st Group Army Hospital of PLA, Zhangjiakou Hebei Province 075000, China
  • Received:2025-01-27 Published:2026-02-26
  • Corresponding author: Xiaowu Li
  • Supported by:
    Zhangjiakou City Key R & D Project for Hygiene, Health and Biomedicine(2322142D)
引用本文:

李志军, 李宏伟, 吕瑞昌, 黄勇, 尚培中, 李晓武. 腹腔镜脾部分切除治疗脾脏硬化性血管瘤样结节性转化一例并文献复习[J/OL]. 中华普外科手术学杂志(电子版), 2026, 20(01): 75-77.

Zhijun Li, Hongwei Li, Ruichang Lv, Yong Huang, Peizhong Shang, Xiaowu Li. Laparoscopic partial splenectomy for sclerosing angiomatoid nodular transformation of the spleen: a case report and literature review[J/OL]. Chinese Journal of Operative Procedures of General Surgery(Electronic Edition), 2026, 20(01): 75-77.

目的

探讨腹腔镜脾部分切除术治疗硬化性血管瘤样结节性转化的可行性及效果。

方法

收集一例患者在体检时超声发现脾脏上极占位,增强CT检查后考虑为良性病变,后行腹腔镜脾部分切除术。

结果

手术成功,术后恢复良好,病理诊断为脾硬化性血管瘤样结节性转化,分别在术后3个月、1年、3年门诊复查CT未见肿瘤复发,血查规检查未见异常。

结论

腹腔镜脾部分切除术是治疗脾硬化性血管瘤样结节性转化安全有效的术式,尤其适用于边缘部位病灶,有利于保留脾脏各种生理功能。

Objective

To explore the feasibility and efficacy of laparoscopic partial splenectomy in the treatment of sclerosing angiomatoid nodular transformation (SANT).

Methods

A patient was found to have a space-occupying lesion in the upper pole of the spleen during a physical examination via ultrasound. Enhanced computed tomography (CT) suggested a benign lesion, and subsequent laparoscopic partial splenectomy was performed.

Results

The surgery was successful, and the patient recovered well postoperatively. Pathological diagnosis confirmed sclerosing angiomatoid nodular transformation of the spleen. Follow-up CT examinations at 3 months, 1 year, and 3 years after surgery showed no tumor recurrence, and routine blood tests were normal.

Conclusion

Laparoscopic partial splenectomy is a safe and effective surgical method for the treatment of sclerosing angiomatoid nodular transformation of the spleen. It is particularly suitable for lesions located at the marginal parts of the spleen and helps preserve various physiological functions of the spleen.

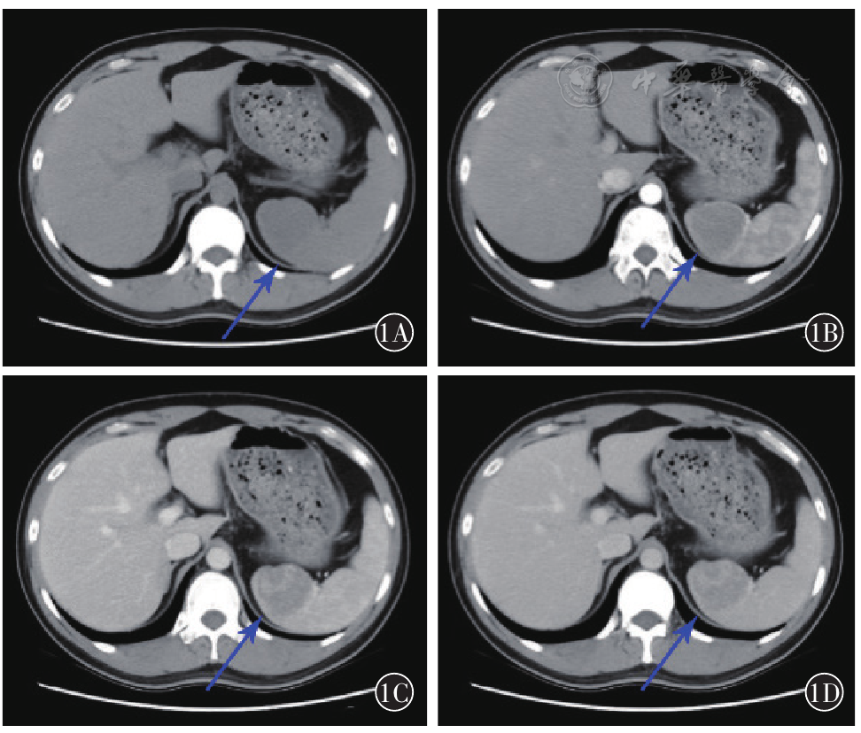
图1 SSANT在CT影像学表现注:1A为轴位平扫示脾脏上极边缘部见大小约4.5cm×4.2cm稍低密度病灶,密度尚均匀,病灶内无囊变及钙化,边界清晰,病灶局部略突出脾脏轮廓;1B为增强扫描动脉期(25s)显示病灶边缘呈小结节样强化,病灶内见不规则线样强化;1C为静脉期(50s)显示病灶呈持续强化,强化范围进一步扩大填充;1D为延迟(1min)后病灶大部分填充,内仍见稍低密度未完全填充病灶,略低于正常脾实质密度
图2 腹腔镜脾部分切除SSANT手术过程注:2A为游离脾胃韧带,离断胃短血管,完全游离脾上极;2B为分别找出脾动、静脉主干,预置脾动、静脉阻断带;2C为解剖脾动脉上极分支,用无损伤血管阻断钳暂时阻断脾上极血管;2D为超声刀和双极电凝钳沿肿块边缘离断脾实质;2E为完整切除瘤体,断面电凝彻底止血,解除无损伤血管阻断钳,创面覆盖可吸收止血纱(SurgicelTM,爱惜康公司)
图3 SSANT病理光学显微镜下形态特征注:3A为中倍镜下脾脏部分结构消失,呈结节状,其间有纤维分隔(黄色箭头)(HE×100);3B为中倍镜下结节由裂隙状、扩张或不规则形状的血管腔隙组成,内衬有变薄或肿胀的内皮细胞(白色箭头)(HE×100);3C为CD31肿瘤细胞弱阳性(蓝色箭头)(IHC×100)),血管阳性(紫色箭头);3D为CD68部分细胞阳性(黑色箭头)(IHC×40)
[1]
赵建民, 梅雪, 刘伟, 等. 脾脏硬化性血管瘤样结节性转化临床病理分析并文献复习[J]. 诊断病理学杂志, 2022, 29 (06): 491-495.
[2]
Toshikatsu N, Kohei H, Masatsugu I, et al. Laparoscopic splenectomy for sclerosing angiomatoid nodular transformation of the spleen: Report a case [J]. Int J Surg Case Rep, 2024, 119: 109699.
[3]
李海超. 脾脏硬化性血管瘤样结节性转化临床回顾性分析[D]. 济南: 山东大学, 2022: 8.
[4]
Ji YK, Hee JL, Eun YJ, et al. Splenic sclerosing angiomatoid nodular transformation in an 8-year-old child [J]. J Korean Soc Radiol, 2025, 86(1): 191-198.
[5]
Xiang X, Li Y, Liu C. Sclerosing angiomatoid nodular transformation of the spleen: clinical, computed tomography, and magnetic resonance imaging characteristics[J]. Quant Imag Med Surg, 2025, 15(3): 1888-1897.
[6]
张杨, 岳学旺, 姜非, 等. 脾脏硬化性血管瘤样结节性转化的CT表现[J]. 中华普通外科杂志, 2024, 39(05): 379-380.
[7]
Eri N, Yasutaka I, Kensuke D, et al. A case of sclerosing angiomatoid nodular transformation with central calcification[J]. Radiol Case Rep, 2025, 20(3): 1380-1385.
[8]
Liao J, Wang Z, Li Q, et al. CT and MRI features of sclerosing angiomatoid nodular transformation of the spleen: A report of 18 patients with pathologic correlation[J]. Diagn Interv Imaging, 2021, 102(6): 389-396.
[9]
Trigui A, Toumi N, Bouzid A, et al. Sclerosing angiomatoid nodular transformation of the spleen: a systematic review [J]. Curr Surg Rep, 2024, 12(7): 161-172.
[10]
齐峰, 戴朝六. 脾血管瘤的诊断及治疗进展[J/CD]. 中华普外科手术学杂志(电子版), 2021, 15(01): 114-116.
[11]
刘桂杰, 薄晓辉, 叶静, 等. 腹腔镜手术治疗脾脏硬化性血管瘤样结节性转化的临床价值[J]. 腹腔镜外科杂志, 2022, 27(03): 189-193.
[12]
张腾花, 尚培中, 王晓梅, 等. 外伤性脾破裂三阶梯分层治疗策略[J/CD]. 中华普外科手术学杂志(电子版), 2024, 18(05): 510-512.
No related articles found!
阅读次数
全文


摘要


AI


AI小编
你好!我是《中华医学电子期刊资源库》AI小编,有什么可以帮您的吗?